Parkside Orthodontics Logo

Before & after

results to smile about
Here are some before and after pictures of Dr. Kuperstein’s work. You'll see examples of bite correction, jaw alignment, and tooth straightening. These patients have good reason to smile!

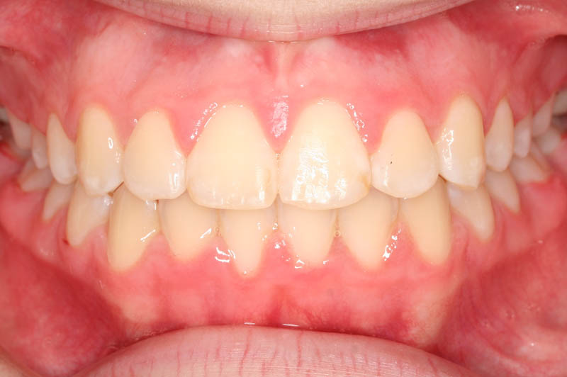
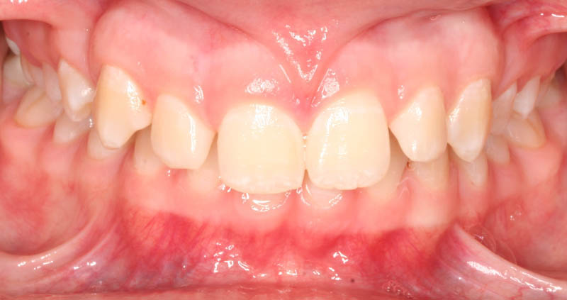
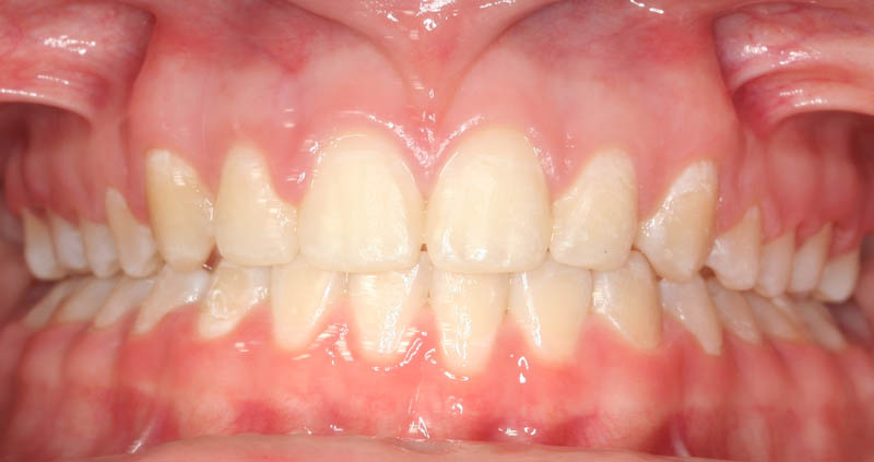
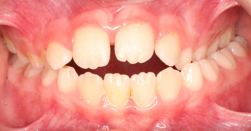
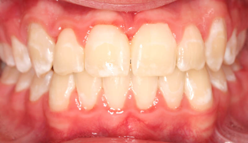
Crossbite & openbite

crossbite openbite before treatment
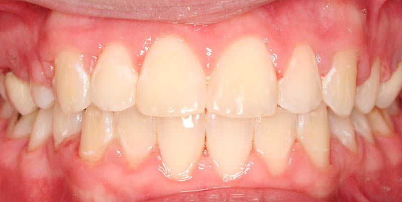
crossbite openbite after

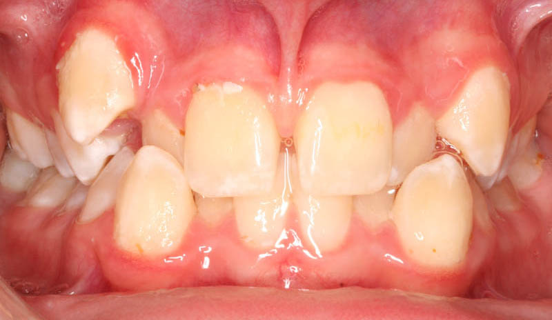
Crowding with Ectopic Canines

crowding with ectopic canines treatment
crowding with ectopic canines after treatment

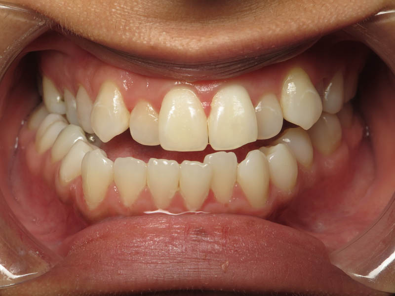
Openbite (adult)

open bite adult before treatment
open bite adult after treatment

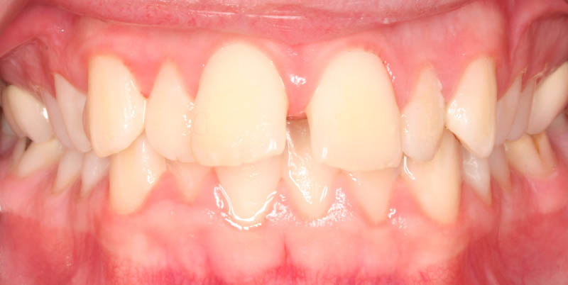
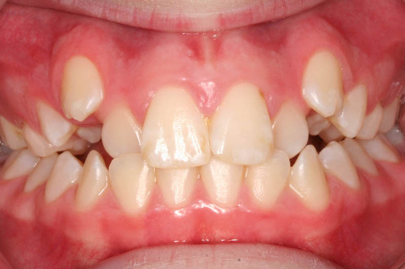
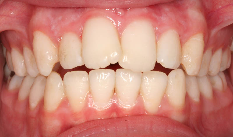
Openbite & overjet

open bite and overjet before treatment
open bite and overjet after treatment

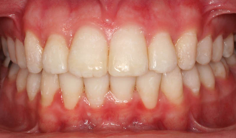
Overbite

overbite before treatment
overbite after treatment

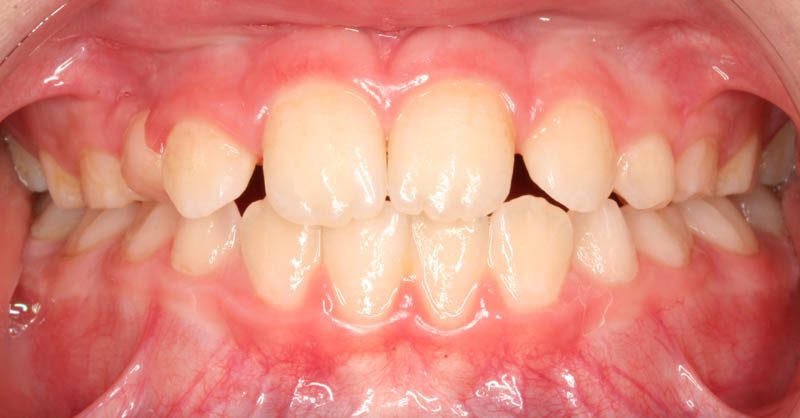
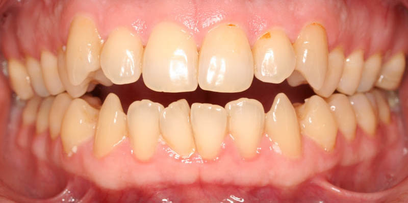
Overjet

overjet before treatment
overjet after treatment

Severe crowding and diastema after

severe crowding and diastema before treatment
severe crowding and diastema after treatment

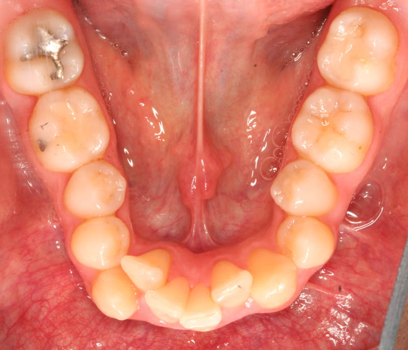
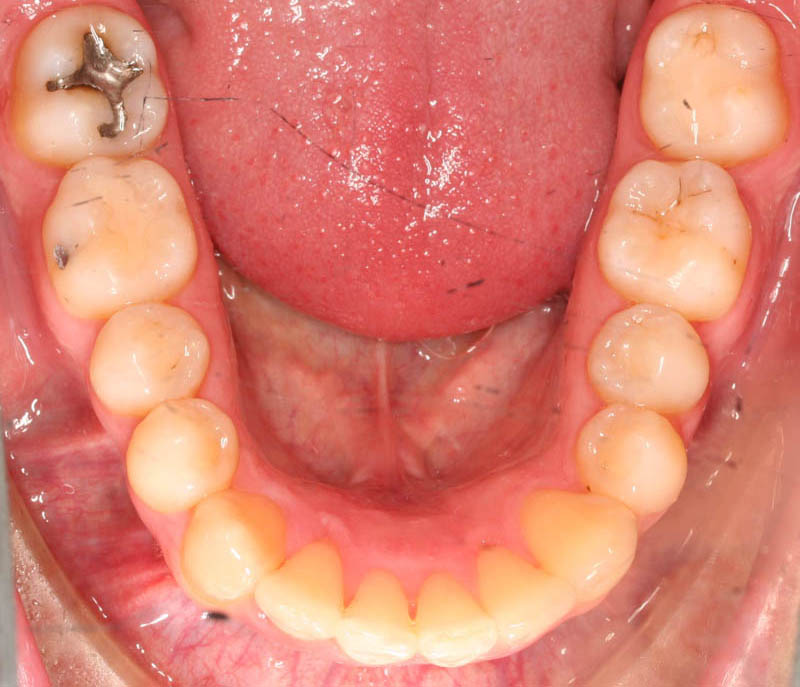
Severe crowding lower teeth

severe crowding lower teeth before treatment
severe crowding lower teeth after treatment

Spacing

teeth spacing before treatment
teeth spacing after treatment

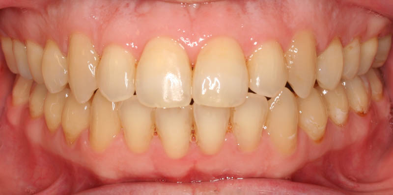
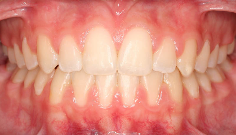
Underbite

teeth underbite before treatment
teeth underbite after treatment